15
nových článků - klikněte pro zobrazení

ScienceDaily

Popis:

Breaking science news and articles on global warming, extrasolar planets, stem cells, bird flu, autism, nanotechnology, dinosaurs, evolution...

URL:

https://www.sciencedaily.com

Katalog:

Technology → Science

Publikuje:

10,1 položek/den

“Cannot be explained” – New ultra stainless steel stuns researchers

10.května
A team at the University of Hong Kong has developed a new “super steel” that can survive the harsh conditions needed to make green hydrogen from seawater. The material uses an unexpected double-protection mechanism that resists corrosion far better than conventional stainless steel. Even more impressive, it could replace costly titanium parts used in today’s hydrogen systems.

Scientists successfully transfer longevity gene and extend lifespan

10.května
Scientists at the University of Rochester pulled off a remarkable experiment: they transferred a longevity-related gene from the famously long-lived naked mole rat into mice, and the mice ended up healthier and lived longer. The special gene boosts production of a substance called high molecular weight hyaluronic acid, which appears to protect against cancer, reduce inflammation, and support heal…

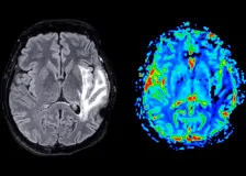
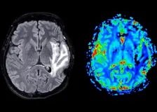
Brain scans reveal a shocking difference between psychopaths and other people

10.května
Scientists have uncovered a striking brain difference linked to psychopathy: people with psychopathic traits were found to have a striatum — a brain region tied to reward, motivation, and decision-making — that was about 10% larger on average than those without such traits. Using MRI scans and psychological assessments on 120 participants, researchers connected this enlarged brain region to thril…

Scientists discover the brain’s hidden “stop scratching” switch

10.května
Scientists have uncovered a hidden “stop-scratching” signal in the nervous system that tells your brain when enough scratching is enough. The discovery centers on a molecule called TRPV4, which acts like part of an internal braking system for itch relief. In experiments involving chronic itch similar to eczema, mice missing this signal scratched less often—but when they did scratch, they couldn’t…

Scientists stunned as volcano cloud destroys methane in the atmosphere

10.května
A colossal underwater volcano in the South Pacific may have revealed a surprising new weapon against climate change. After the 2022 eruption of Hunga Tonga–Hunga Ha’apai, scientists detected enormous amounts of formaldehyde in the atmosphere — a telltale sign that methane, one of the planet’s most powerful greenhouse gases, was being destroyed. Researchers now believe volcanic ash mixed with salt…

Scientists say a critical Atlantic ocean current is weakening and the world could feel the impact

10.května
Scientists have uncovered strong evidence that a major Atlantic Ocean current system tied to global climate is weakening. The slowdown has been detected across a vast region of the North Atlantic over nearly two decades. Since this ocean circulation helps regulate weather and temperatures, changes could affect storms, rainfall, sea levels, and even winter conditions in parts of Europe and North A…

Antarctica is melting from below and scientists say it’s worse than expected

10.května
Scientists have uncovered a hidden Antarctic threat that could accelerate global sea level rise far faster than expected. Deep beneath floating ice shelves, long channels carved into the ice appear to trap warmer ocean water, dramatically speeding up melting from below. Even regions of East Antarctica once considered relatively stable may be far more vulnerable than scientists realized. Researche…

Scientists reversed liver aging with young gut bacteria in stunning study

10.května
Rebooting the gut microbiome with bacteria from youth may help stop aging-related liver damage and even prevent liver cancer, according to new research in mice. Older mice that received their own preserved youthful microbiome showed less inflammation, reduced DNA damage, and no signs of liver cancer. Researchers also found that the treatment suppressed a cancer-linked gene called MDM2, making old…

Scientists just sent unhackable quantum keys across 120 kilometers

10.května
Scientists have taken a major step toward ultra-secure quantum communication by demonstrating a remarkably stable quantum encryption system that worked across more than 120 kilometers of optical fiber. Using tiny semiconductor quantum dots that emit single particles of light on demand, the team achieved one of the highest secure key rates yet for this type of technology while maintaining continuo…

Black licorice compound shows promise against inflammatory bowel disease

10.května
Researchers have developed a stem cell-based model of the human intestine that may transform how new IBD treatments are discovered. After testing thousands of compounds, they identified glycyrrhizin — a natural substance found in black licorice — as a promising anti-inflammatory candidate. In both lab-grown tissue and mice, the compound reduced intestinal damage and cell death linked to IBD.

The hidden atomic gap that could break next-generation computer chips

10.května
A major obstacle may be standing in the way of the next generation of ultra-tiny computer chips. Researchers discovered that many promising 2D materials lose their advantages because an invisible atomic-scale gap forms when they are combined with insulating layers. That tiny gap weakens electronic performance and could prevent further miniaturization. The team says new “zipper materials” that loc…

New chemical kills 95% of termites without harming humans

9.května
Scientists may have found a smarter, safer way to wipe out termites hiding inside homes. A chemical called bistrifluron prevents drywood termites from forming new exoskeletons during molting, killing entire colonies from within. In tests, it eliminated about 95% of termites while avoiding the toxic side effects of traditional fumigation. Researchers say the method could provide longer-lasting pro…

Physicists discover quantum particles that break the rules of reality

9.května
Physicists may have just cracked open a hidden side of the quantum world. For decades, every known particle was thought to belong to one of two categories — bosons or fermions — but researchers have now shown that bizarre “in-between” particles called anyons could also exist in a one-dimensional system. Even more exciting, these strange particles may be adjustable, allowing scientists to tune the…

Scientists say this simple music trick can boost workout endurance by 20%

9.května
A new study shows that listening to your own favorite workout music can dramatically boost endurance. Cyclists exercising with self-selected songs lasted nearly 20% longer than when riding in silence, yet they didn’t feel more exhausted at the end. Researchers say music may help people stay in the “pain zone” longer without increasing perceived strain.

Deep diving fur seals experience delayed heart surges after returning to land

9.května
Fur seals may look like they’re simply resting after exhausting hunting trips at sea, but their bodies are secretly working overtime. Scientists discovered that hours after returning to land, the seals’ heart rates suddenly surge — sometimes doubling — as they recover from the intense physical stress of deep diving. The findings suggest that seals postpone much of their recovery until they’re saf…
© 2000-2026 ANNECA s.r.o., Klíšská 977/77, 400 01 Ústí nad Labem, Tel: +420 478571021, Email: info@pravednes.cz, Twitter: @pravednes